矯正歯科治療 ~本格的に歯並びを改善したいあなたへ~
自分の歯を活かしてキレイな歯並びに!

「歯並びがキレイ!」なんて、すごく嬉しい褒め言葉だと思いませんか? 口元は、人の印象を左右するといわれるほど重要なパーツですから、常に美しくありたいものです。ですが、歯並びを整えるメリットは、単に見た目が美しくなることだけなのでしょうか? 答えは「ノー」です。矯正歯科治療を行うことで、以下のようなさまざまなメリットが得られます。
矯正歯科治療のメリット
- 審美性が良くなる
- 顔の輪郭が正常になる
- 咀嚼能力が上がり、消化吸収を助ける
- 口腔内の清掃性が良くなり、虫歯や歯周病になりにくくなる
- 笑顔に自信が生まれ、コンプレックスから解放される
ほかに、原因不明な頭痛や腰痛、肩こりの改善などが期待できるなど、歯並びが良くなることで全身に良い影響がもたらされます。
矯正歯科治療は健康と美を手に入れる有効な手段のひとつ。歯並びでお悩みでしたら、お気軽にご相談ください。
矯正歯科治療を受ける前に
大人の矯正

ちょっと前までは「矯正=子どもがするもの」と思われていました。ですが、矯正は成人してからも可能です。歯並びがビジネスシーンにも影響を及ぼすことから、治療を受けるOLやビジネスマンの方が増えています。成人の顎の骨は大きさや形が決定しているので予測を立てやすく、集中的に治療をすすめられる点が大人の矯正のメリットです。
矯正歯科治療の種類
最近では、さまざまな種類の矯正方法や装置が開発され、審美的に優れたものも登場しています。特に目立たない矯正は成人の方に大変好評です。
| ラビアル装置 (歯の表側に装置を付ける矯正) | メタルブラケット、コンポジットブラケット、セラミックブラケット、ストレートワイヤー、デーモンシステ | 
| リンガル装置 (歯の裏側に装置を付ける矯正) | ライトリンガルシステム(従来のものより小さな装置) | 
| コンビネーション (片側のみ裏側に装置を付ける矯正) | ラビアル装置とリンガル装置の混合 | 
| 部分矯正 (部分的な矯正) | 前歯だけ、奥歯だけなど、一部分だけの矯正治療 | 
| 床矯正装置 (取り外し可能な装置による矯正) | 子どもの顎誘導や、部分矯正で使用する装置 | 
| マウスピース矯正 (取り外し可能な透明な装置による矯正) | インビザライン、クリアアライナー、エシックスアプライアンス | 
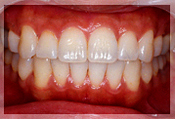
症例紹介
前突ケース
症例1
上下前歯の前突ケースをディスキング(歯牙の削合)を行うことで、非抜歯にて治療したケース








症例2
前歯前突により口元の突出感が気になっている。
抜歯治療を行い歯を下げることで、口元の改善を行った。








叢生ケース
症例3
上下叢生ケース。特に下顎の叢生は強く左側犬歯が大きく外側へずれ正中のラインも変移している。
矯正治療後、上顎の中切歯は補綴治療が行われている。







症例4
重度の叢生と上顎前歯の前突症例








オープンバイトケース
症例5
下顎前歯2本欠損により、前歯部の被蓋ができずオープンバイトを呈している。矯正治療により歯牙欠損部にスペースをつくり補綴治療を行う予定である。






症例6
歯牙のポジションが悪く補綴治療だけでは適切な咬合が行えないケース。矯正治療後審美的にも良好な補綴が行われた。






その他転院ケース
症例7
他院にて治療を3年以上行っていたが治療の目処が立たず転院を希望。当院に転院時は切端咬合、上下正中のずれ、臼歯歯牙の前後的ずれが見られてた。







症例8
他院にて矯正治療を修了したが、正中のずれ、空隙、咬合の確立に問題を残したケース























